
Choroby przyzębia, powszechnie znane jako choroby dziąseł są powszechnym schorzeniem jamy ustnej, z którymi borykają się miliony ludzi na całym świecie. Obejmują one szereg stanów zapalnych, które wpływają na tkanki otaczające i podtrzymujące zęby. Choroby przyzębia zaczynają się najczęściej od zapalenia dziąseł, charakteryzującego się czerwonymi, opuchniętymi i łatwo krwawiącymi dziąsłami.
Płytka nazębna i kamień osadza się wzdłuż linii dziąseł, co prowadzi do stanu zapalnego i infekcji. Choroby dziąseł są bezbolesne, przewlekłe i są główną przyczyną utraty zębów. Przyczyn chorób przyzębia jest wiele. Do najczęstszych należą: zła higiena jamy ustnej, palenie tytoniu, genetyka, zmiany hormonalne, oraz schorzenia takie jak cukrzyca.
Nieleczone choroby przyzębia mogą prowadzić do poważnych powikłań związanych ze zdrowiem jamy ustnej i wpływać na ogólne samopoczucie.
Choroby przyzębia przyczyniają się do:
- Utraty zębów: W miarę postępu choroby może dojść do zniszczenia kości i dziąseł, które podtrzymują zęby, co prowadzi do utraty zębów.
- Uszkodzenia kości: Zaawansowane zapalenie przyzębia może powodować znaczną utratę kości wokół zębów, pogarszając ich stabilność i prowadząc do utraty zębów.
- Przerostu dziąseł; Długotrwała akumulacja bakterii może prowadzić do stanu zapalnego, utraty masy kostnej, przerostu dziąseł, a w konsekwencji powstawania kieszonek wokół zębów.
- Recesji dziąseł: Choroby przyzębia mogą również powodować utratę kości, co powoduje cofanie się dziąseł, odsłaniając korzenie zębów i czyniąc je podatnymi na próchnicę i nadwrażliwość.
- Innych zagrożeń dla zdrowia: Badania naukowe wykazują związek między chorobami przyzębia a różnymi ogólnoustrojowymi schorzeniami, w tym chorobami układu krążenia, cukrzycą, infekcjami dróg oddechowych, nowotworami i demencją.
Biorąc pod uwagę poważne konsekwencje, niezwykle ważne jest szybkie leczenie chorób przyzębia. Lekarz dentysta po dokładnej analizie stanu zdrowia jamy ustnej może zaproponować leczenie chirurgiczne lub niechirurgiczne.
Leczenie niechirurgiczne to:
- Procedura głębokiego czyszczenia, która polega na usuwaniu płytki nazębnej, kamienia nazębnego i toksyn bakteryjnych z powierzchni zębów i ich korzeni poniżej linii dziąseł. Zabieg ten wykonuje się w celu leczenia chorób przyzębia poprzez eliminację infekcji bakteryjnych, zmniejszenie stanu zapalnego i wspomaganie gojenia tkanki dziąseł. Zabieg ten ma na celu zapobieganie dalszemu postępowi chorób przyzębia, przywrócenie zdrowia dziąseł i utrzymanie optymalnej higieny jamy ustnej.
- Terapia laserowej redukcji bakterii (LBR) w periodontologii polega na wykorzystaniu technologii laserowej do namierzania i eliminowania szkodliwych bakterii z dziąseł i kieszonek przy zębnych. Jest to nieinwazyjna procedura, której celem jest zmniejszenie stanu zapalnego i ryzyka rozwoju chorób przyzębia.
- Miejscowa antybiotykoterapia: Miejscowa antybiotykoterapia bakteryjna to metoda leczenia stosowana w periodontologii, polegająca na umieszczaniu antybiotyków bezpośrednio do kieszonek przy zębnych w celu ukierunkowania i wyeliminowania szkodliwych bakterii. Terapia ta ma na celu zwiększenie skuteczności leczenia chorób przyzębia, wspomaganie gojenia tkanki dziąseł i zapobieganie postępowi chorób przyzębia.
Leczenie niechirurgiczne jest minimalnie inwazyjne i często wystarczające do leczenia wczesnych i umiarkowanych stadiów chorób przyzębia. Metody niechirurgiczne zatrzymują postęp choroby, zmniejszają stan zapalny i wspomagają gojenie tkanki dziąseł.
Leczenie chirurgiczne:
Leczenie chirurgiczne stosowane jest w leczeniu infekcji przyzębia gdy metody niechirurgiczne są nieskuteczne. Chirurgia ma na celu usunięcie infekcji, naprawę uszkodzonych tkanek i przywrócenie zdrowia jamy ustnej, gdy metody niechirurgiczne nie są wystarczające, aby zatrzymać postęp choroby. W leczeniu przerostu dziąseł wskazana jest chirurgia przyzębia.
To tego typu schorzeń należą:
– Przewlekły stan zapalny: Bakterie znajdujące się w płytce nazębnej wytwarzają toksyny, które podrażniają dziąsła, prowadząc do przewlekłego stanu zapalnego.
– Zwłóknienie: Długotrwały stan zapalny może wywołać proces zwany zwłóknieniem, podczas którego tkanka łączna dziąseł staje się pogrubiona i przerośnięta.
– Skutki uboczne leków: Niektóre leki, takie jak leki przeciwdrgawkowe, leki immunosupresyjne, mogą powodować przerost dziąseł jako efekt uboczny, zaostrzając skutki gromadzenia się bakterii.
– Zła higiena jamy ustnej, która może powodować gromadzenie się płytki bakteryjnej i tworzenie się kamienia. Leczenie chirurgiczne staje się konieczne, aby zaradzić przerostowi dziąseł i powstawaniu kieszonek, gdy inne techniki nie przynoszą oczekiwanych rezultatów.
Do najczęstszych zabiegów chirurgii przyzębia należą:
- Procedury przeszczepu kości: Poważna utrata kości może wymagać zabiegów przeszczepiania kości w celu regeneracji utraconej kości i wsparcia stabilności zębów.
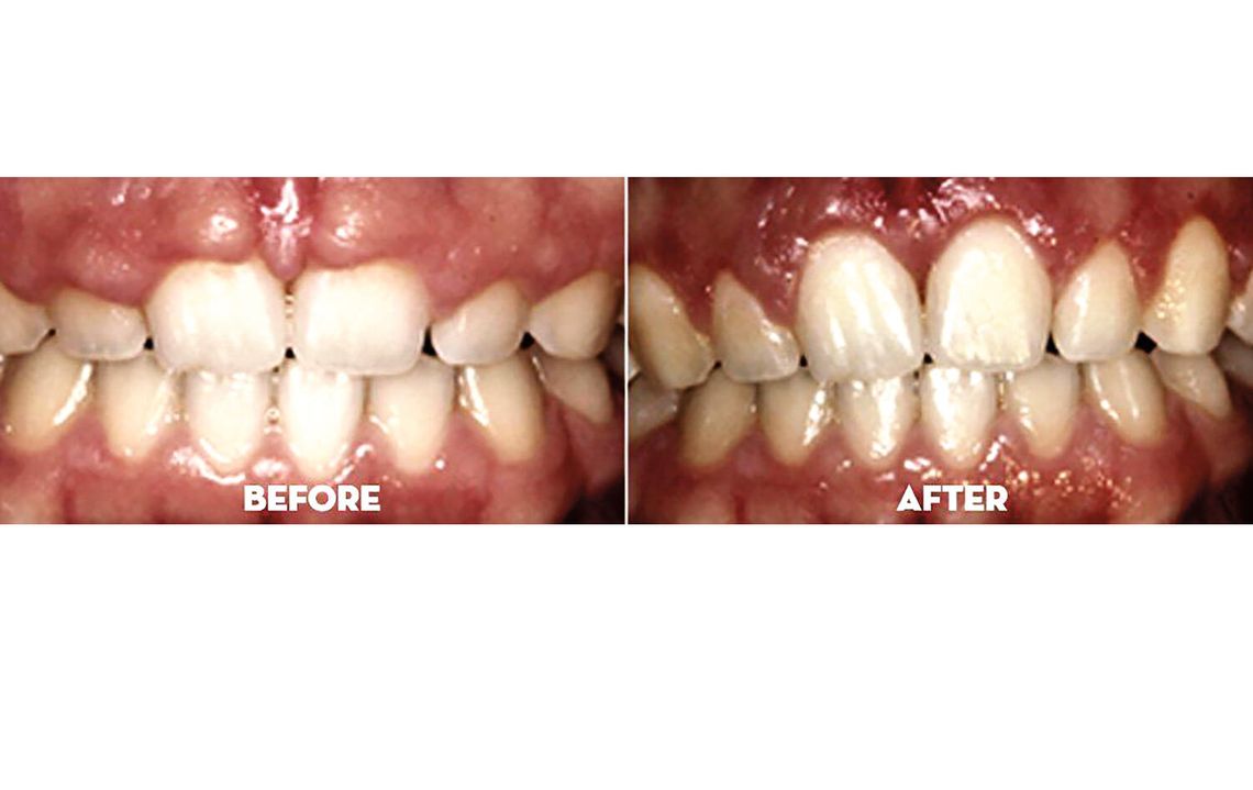
- Procedury polegające na usunięciu nadmiaru tkanki dziąseł, która narosła nad zębami, powodując powstawanie kieszonek. Wykonuje się je w celu wyeliminowania kieszonek, w których mogą gromadzić się bakterie, a tym samym zmniejszenia ryzyka rozwoju chorób przyzębia.
- Przeszczepy tkanek miękkich: Recesja dziąseł to odsłonięcie korzeni zębów w wyniku utraty tkanki dziąseł. Recesję dziąseł można zatrzymać poprzez przeszczepy tkanek miękkich do obszarów dotkniętych recesją, aby przywrócić prawidłową linię dziąseł. Przeszczepy dziąseł pomagają chronić odsłonięte korzenie zębów, zmniejszyć nadwrażliwość i poprawić estetykę, zapobiegają dalszej recesji poprzez zwiększenie grubości tkanki, co pomaga wspierać zdrowie jamy ustnej.
Leczenie chirurgiczne jest niezbędne w leczeniu zaawansowanych chorób przyzębia i przywracaniu zdrowia jamy ustnej. Dzięki metodom chirurgicznym można skutecznie usunąć głęboko zakorzenioną infekcję, naprawić uszkodzone tkanki i odbudować struktury podporowe wokół zębów.
Choroby przyzębia stanowią poważne zagrożenie dla zdrowia jamy ustnej i ogólnego samopoczucia. Wczesna interwencja, zarówno niechirurgiczna, jak i chirurgiczna, ma kluczowe znaczenie dla zatrzymania postępu choroby, zapobiegania utracie zębów i zachowania funkcji jamy ustnej. Regularne kontrole stomatologiczne i przestrzeganie właściwej higieny jamy ustnej są niezbędne w zapobieganiu i leczeniu chorób przyzębia.










